전후사진 1 페이지
본문 바로가기
지점선택
18
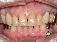
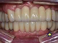
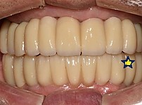
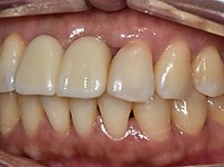
웃을 때 더이상 부끄럽지 않아요^^
치료 전
치료 후
[60대] 보험임플란트 + 틀니 + 충치 및 신경치료 + 크라운치료 병행
2024-01-08
17
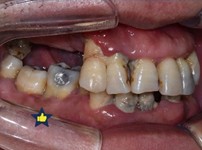
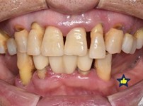
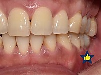
치과치료로 잃어버린 웃음을 되찾았습니다!
치료 전
치료 후
[50대] 임플란트 식립 + 신경치료 + 충치치료 + 크라운치료 병행
2024-01-08
16
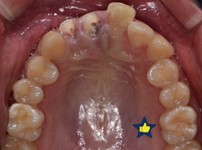
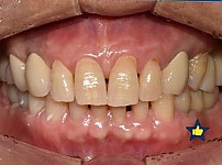
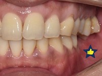
씹고 뜯는 즐거움을 찾게 되어 정말 좋습니다!
치료 전
치료 후
[40대] 임플란트 식립 + 신경치료 + 충치치료 병행
2024-01-08
15
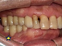
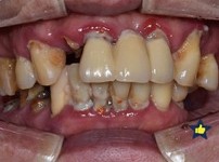
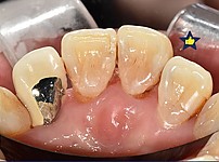
이렇게 빨리 끝날 줄 알았다면 진작할걸 그랬어요!
치료 전
치료 후
[60대] 앞니 부분 사이 충치치료
2024-01-08
14
치아건강을 다시 찾게 해주셔서 감사합니다!
치료 전
치료 후
[40대] 임플란트 식립 + 신경치료 + 충치치료 병행
2024-01-08
13
원가이드 강추! 아프지 않게 진료 받았네요^^
치료 전
치료 후
[50대] 원가이드 임플란트 식립
2024-01-08
12
원더플에서 치료하길 정말 잘한 것 같아요!
치료 전
치료 후
[60대] 임플란트 식립 + 충치치료 병행
2024-01-08
11
식립부터 사보험 상담까지 완벽합니다!
치료 전
치료 후
[60대] 임플란트 식립 + 신경치료 + 충치치료 병행
2024-01-08
10
임플란트 후 일상이 180도 달라졌어요!
치료 전
치료 후
[30대] 임플란트 식립 + 신경치료 + 충치치료 병행
2024-01-08
9
이제 밥 먹을 맛 납니다. 너무 편해요
치료 전
치료 후
[70대] 건강보험 임플란트 + 신경치료 및 크라운 치료 병행
2024-01-08
8
티가 하나도 안나요, 원래 내 치아 같아요^^
치료 전
치료 후
[20대] 부러진 앞니 임플란트 + 신경치료 및 크라운 치료 병행
2024-01-08
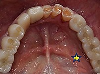
7
임플란트 치료가 안 아프고, 정말 금방 끝났어요.
치료 전
치료 후
[20대] 앞니 임플란트 발치 즉시 식립 + 뼈이식
2024-01-08
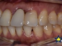
6
확 달라진 인상 덕분에 자신감도 생겼습니다.
치료 전
치료 후
[60대] 임플란트 식립 + 뼈이식 치료
2024-01-08
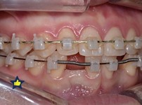
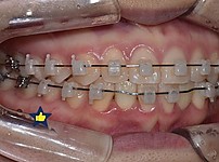
5
이제 마음껏 울을수 있어 행복합니다!!
치료 전
치료 후
[20대] 타 치과 교정 후 앞니 임플란트 식립
2024-01-08
4
임플란트 치료로 인상도 달라졌어요!
치료 전
치료 후
[40대] 원가이드 임플란트 식립 + 상악동거상술 +충치치료 병행
2024-01-08
열린
1
페이지
2
페이지
맨끝