전후사진 2 페이지
본문 바로가기
지점선택
3
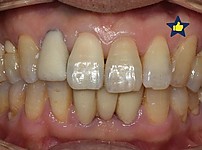
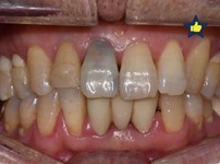
앞니 때문에 고민이었는데 정말 감쪽같죠?^^
치료 전
치료 후
[70대] 실활치 미백치료
2024-01-08
2
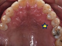
치과치료 후 자신감이 생겼습니다! 정말 좋아요
치료 전
치료 후
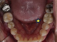
[60대] 임플란트 식립 + 크라운 치료 병행
2024-01-08
1
임플란트부터 사랑니 발치까지 완벽합니다.
치료 전
치료 후
[20대] 임플란트 식립+사랑니 발치+충치치료 병행
2024-01-08
처음
1
페이지
열린
2
페이지